- 2025年12月28日
- 星期日
作者: 贾小乐 你会买一只300多块钱的AI机器人陪着你吗? 在华为这场声势浩大的发布会后, AI陪伴的“主流化” 似乎又多了两项确凿的证据: 顶尖科技大厂们真的把AI陪伴当做产品在琢磨;的确有不少人愿意花几百块钱买回家。
阿里又迎来了新变化。12月9日,有消息披露,阿里已成立千问C端事业群,由阿里巴巴集团副总裁吴嘉负责。时隔了一天,阿里公开宣布,公测后仅用23天时间,“千问”的月活跃用户数(含App、Web和PC端)已突破3000万。这意味着,它已对国内独立AI原生App排名第四的位置发起冲击。
图片来源:AI生成上个月,埃隆·马斯克(Elon Musk)在知名视频播客节目《乔・罗根体验》(The Joe Rogan Experience)中说,未来5到6年内,人们所熟知的传统智能手机及独立的手机应用程序将会消失。
导语:中美作为全球AI领域的核心竞争者,中国籍AI研究人员的留存与流动直接影响两国科技竞争力格局。12月3日,美国智库卡内基国际和平基金会发布分析文章《顶尖中国AI研究人员是否选择留美?》,直面中美战略博弈中科技人才竞争这一核心议题。
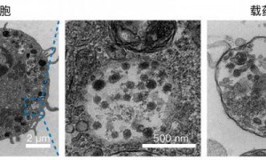
你是否会因接触花粉而喷嚏不断,或是困扰于品尝海鲜导致的红肿瘙痒?中国科学家敏锐地捕捉到了这类过敏反应中的玄机,并尝试把这种过度的免疫响应转化为对抗肿瘤的“新利器”。12月10日,相关论文发表 于国际学术期刊 《细胞 》。
正在加载中...
已加载全部内容
已经没有更多文章了

